CONTINUE EM OLIBERAL.COM
X

Criança nasce sem pênis e faz xixi pelo ânus; confira

O recém-nascido possui afalia, uma condição caracterizada pela ausência do falo, que se apresenta em um a cada 30 milhões de embriões

Maiza Santos

Um menino iraniano nasceu com uma condição rara em que o pênis, órgão genital masculino, não se desenvolve. A situação surpreendente assustou os médicos e a mãe do bebê, uma vez que a mulher relata ter tido uma gravidez sem complicações e aparentemente saudável. O caso foi relatado na revista médica Radiology Case Reports. Entenda.

VEJA MAIS

image Gêmea nasce empelicada e sentada, para surpresa de obstetra: 'primeira vez'
Obstetra disse que bebê ainda nasceu em posição pélvica, o que é ainda mais incomum

image Pré-natal: a importância e os cuidados na gestação
O acompanhamento monitora a saúde da mãe e do bebê

image Bebê nasce com dois dentes e surpreende médicos em Belém; vídeo
A mãe da criança publicou o relato nas redes sociais e já soma mais de 8 milhões de visualizações

De acordo com os médicos, o bebê nasceu com afalia, uma má formação que impede o desenvolvimento do falo (pênis ou clitóris, dependendo do sexo da criança). No entanto, apesar de não ter o órgão reprodutor e excretor masculino, a criança possui testículos e escroto, sendo classificada como do sexo masculino.

Com a má-formação, o sistema urinário do bebê é conectado ao reto. Sendo assim, a criança urina pelo ânus. Segundo os médicos que o atenderam e acompanham o menino, ele nasceu em ótimo estado de saúde.

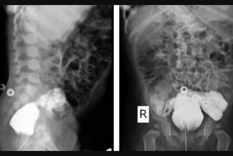
A equipe médica realizou exames por mais de um ano após o nascimento da criança para entender como funciona o sistema urinário raro do paciente. Por meio de exames de imagem, foi identificado que o menino possui uma fístula, ou seja, uma ligação anormal entre a bexiga e o reto - que fica no final do intestino.

VEJA MAIS 

image Bebê chorando? Saiba quais podem ser os motivos e conheça dicas que podem ajudar
Um choro de bebê pode preocupar os pais que não conseguem entender os motivos; saiba como ajudar e quais causas

image Claudia Raia grávida: entenda as chances da mulher engravidar depois dos 50 anos
Por ser incomum uma gravidez espontânea após os 40 anos, o Oliberal.com explicou quais as chances da mulher gerar um bebê depois dos 50 anos

image ‘Bebê-sereia’ nasce na Índia e atrai multidão na maternidade
Bebê não tem os órgãos sexuais e nem o intestino completamente desenvolvido

image Exames de imagem do recém-nascido (Reprodução: Radiology Case Reports)

Intersexual

De acordo com estudos, a afalia afeta uma criança a cada 30 milhões e existem menos de 100 casos relatados em estudos médicos. Pessoas com essa condição são conhecidas biologicamente como intersexuais - no passado, era usado o termo hermafrodita.

Mesmo que seja possível realizar procedimentos cirúrgicos para construir um pênis e uma uretra na criança, os médicos que atenderam o menino sugeriram que ele passe por um tratamento de mudança de sexo e uma cirurgia de feminização - quando se cria uma vagina.

Além disso, a equipe recomendou que a criança receba o hormônio estrogênio durante a puberdade para impedir mudanças no corpo como a presença de pelos faciais e o engrossamento da voz, a fim de estar de acordo com o gênero feminino. O relato de caso não traz informações sobre a decisão da família.

(Estagiária Maiza Santos, sob supervisão da editora Web de OLiberal.com, Adna Figueira)

 

Assine O Liberal e confira mais conteúdos e colunistas. 🗞
Entre no nosso grupo de notícias no WhatsApp e Telegram 📱
Mundo
.
Ícone cancelar

Desculpe pela interrupção. Detectamos que você possui um bloqueador de anúncios ativo!

Oferecemos notícia e informação de graça, mas produzir conteúdo de qualidade não é.

Os anúncios são uma forma de garantir a receita do portal e o pagamento dos profissionais envolvidos.

Por favor, desative ou remova o bloqueador de anúncios do seu navegador para continuar sua navegação sem interrupções. Obrigado!

RELACIONADAS EM MUNDO

MAIS LIDAS EM MUNDO